INICIO
NOSOTROS
ESPECIALIDADES
CONTACTO
Conoce su caso...
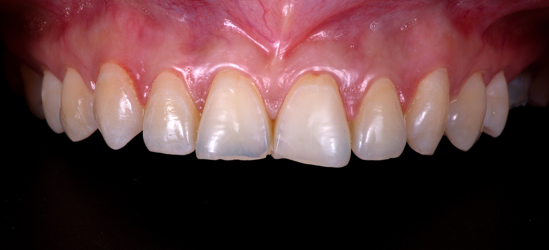
ESTADO INICIAL DEL PACIENTE
PROCESO DE LABORATORIO
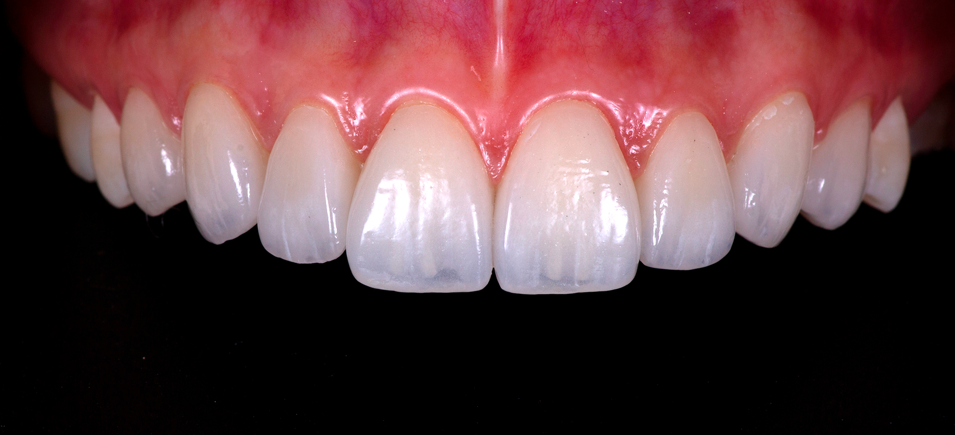
COMO RESULTADO FINAL: ALTA ESTÉTICA
DEVUELVE LA ALEGRÍA A TU SONRISA