INICIO
NOSOTROS
ESPECIALIDADES
CONTACTO
Conoce su caso...
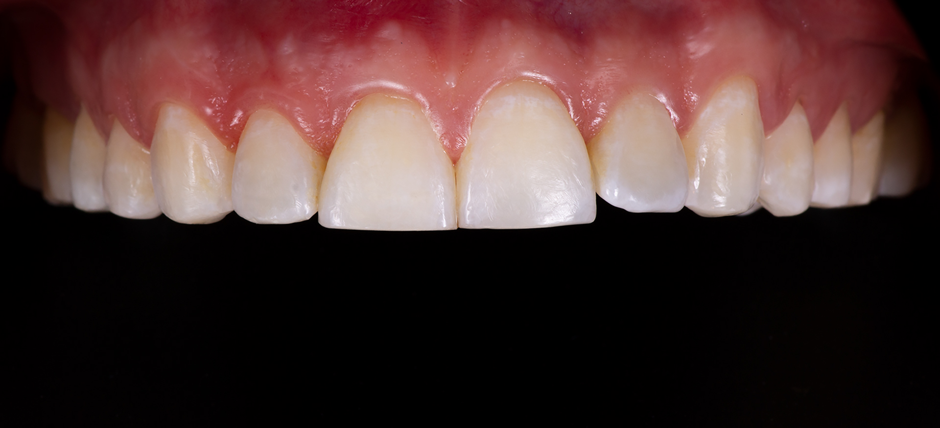
ESTADO INICIAL DEL PACIENTE
PROCESO DE LABORATORIO
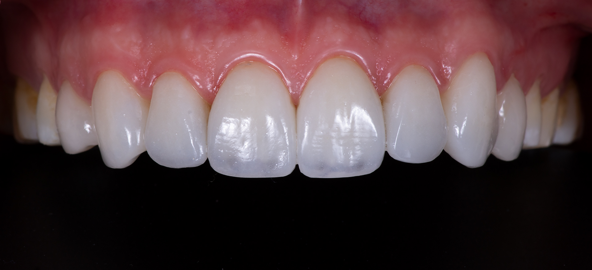
COMO RESULTADO FINAL: ALTA ESTÉTICA
LUCE TU SONRISA
DEVUELVE LA ALEGRÍA A TU SONRISA